Diagnos och behandling vid en hjärnabscess


Granskad och godkänd av läkaren Leonardo Biolatto
En abscess i någon del av kroppen är något som alltid skapar oro första gången vi får höra om det, och vi inte vet vad vi ska göra åt det. För att ta bort denna oro och rädsla för det okända, ska vi berätta för dig vad en hjärnabscess handlar om.
Allmänt om hjärnabscesser

En hjärnabscess är en ansamling av var inuti hjärnan. Det bildas när bakterier från en infektion någon annanstans i huvudet, från blodomloppet eller från ett sår, når hjärnan.
Det skapas vanligtvis vätska i vävnaden runt en hjärnabscess. Som ett resultat sväller den omgivande hjärnvävnaden och det intrakraniella trycket ökar. Ju större abscess, desto större svullnad och tryck.
Om hjärnabscessen läcker eller brister och var kommer in i cerebrospinalvätskan, som rinner genom vävnaderna som täcker hjärnan och ryggmärgen, kan detta orsaka hjärnhinneinflammation. Denna patologi kan förändra den neurologiska funktionen på grund av inflammationen och efterföljande verkningar.
Skillnaden mellan en hjärnabscess och encefalit ligger i det faktum avsaknaden av en fibrös kapselbildning. Epidemiologin har dock förändrats de senaste åren gällande användningen och skapandet av nya vacciner, som exempelvis vaccinet mot Haemophilus influenza typ B.
Upptäck mer: Naegleria fowleri: den hjärnätande amöban
Diagnostik vid en hjärnabscess
Läkaren utför flera olika undersökningar för att ställa diagnosen och etiologin för att bedöma vilken behandling som är den bästa att sätta in. Bland de tekniker som finns tillgängliga idag är följande:
- Allmänna kompletterande tester: Dessa är vanligtvis till liten hjälp och ospecifika.
- Lumbalpunktion: Detta rekommenderas inte när en fokal lesion med masseffekt misstänks. Resultaten är vanligtvis inte särskilt specifika.
- Datortomografi: Detta har stor diagnostisk användbarhet, eftersom det gör att man kan kontrollera eventuella kopplingar till det medicinska tillståndet och fastställa behandling enligt motsvarande fas. Denna teknik är också effektiv för att följa upp utvecklingen av sjukdomen efter behandlingen.
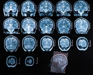
- Magnetisk resonanstomografi: Detta är den bästa typen av avbildningsstudie vid diagnos av en hjärnabscess. Det är mycket känsligare än datortomografi och erbjuder många fördelar vid upptäckt av tidig cerebrit och ödem och bättre differentiering mellan områden med inflammation och andra påverkade strukturer.
- Scintigrafi: Detta är en undersökningsmetod där man radioaktivt markerar vissa celler. Dessa celler ackumuleras vid inflammation och skiljer därmed hjärnabscess från andra eventuella orsaker till tillståndet.
- SPECT: Denna metod har visat vara effektiv för AIDS-patienter för att skilja mellan primärt cerebralt lymfom och infektiösa hjärnskador.
- Biopsi.

Hur ser behandlingen ut vid en hjärnabscess?
Behandlingen omfattar neurokirurgiska ingrepp som syftar till att dränera abscessen, och därtill läkemedel för att minska inflammation och storleken på lesionen. Antibiotika och kortikosteroider är några exempel.
Antibiotika
Ett kombination av vankomycin, ceftriaxon och metronidazol har visat sig effektiv. Tredje generationens cefalosporiner och metronidazol har ett adekvat antimikrobiellt spektrum och penetration i det centrala nervsystemet, varför de är effektiva vid de flesta infektioner associerade med detta tillstånd.
Kortikosteroider
Användningen av dessa läkemedel för att behandla denna patologi är kontroversiell, eftersom det inte finns några randomiserade studier som stöder deras effektivitet i denna miljö. Glukokortikoider administreras när det finns ett vasogent ödem runt abscessen, en masseffekt och ökat tryck.
Detta tyder på att de endast skulle kunna användas i den akuta fasen av sjukdomen för hantering av endokraniell hypertoni. Dessa läkemedel kan emellertid också vara effektiva för kontroll av postoperativa ödem i de fall som neurokirurgen rekommenderar detta.
Ett komplex tillstånd som kräver läkarvård
På grund av de potentiella komplikationer som kan uppstå bör patienter med symtom som är förenliga med en hjärnabscess så snart som möjligt uppsöka en akutmottagning för specialiserad utvärdering. Ju tidigare man kan sätta in behandling, desto större är chanserna för god återhämtning.
En abscess i någon del av kroppen är något som alltid skapar oro första gången vi får höra om det, och vi inte vet vad vi ska göra åt det. För att ta bort denna oro och rädsla för det okända, ska vi berätta för dig vad en hjärnabscess handlar om.
Allmänt om hjärnabscesser

En hjärnabscess är en ansamling av var inuti hjärnan. Det bildas när bakterier från en infektion någon annanstans i huvudet, från blodomloppet eller från ett sår, når hjärnan.
Det skapas vanligtvis vätska i vävnaden runt en hjärnabscess. Som ett resultat sväller den omgivande hjärnvävnaden och det intrakraniella trycket ökar. Ju större abscess, desto större svullnad och tryck.
Om hjärnabscessen läcker eller brister och var kommer in i cerebrospinalvätskan, som rinner genom vävnaderna som täcker hjärnan och ryggmärgen, kan detta orsaka hjärnhinneinflammation. Denna patologi kan förändra den neurologiska funktionen på grund av inflammationen och efterföljande verkningar.
Skillnaden mellan en hjärnabscess och encefalit ligger i det faktum avsaknaden av en fibrös kapselbildning. Epidemiologin har dock förändrats de senaste åren gällande användningen och skapandet av nya vacciner, som exempelvis vaccinet mot Haemophilus influenza typ B.
Upptäck mer: Naegleria fowleri: den hjärnätande amöban
Diagnostik vid en hjärnabscess
Läkaren utför flera olika undersökningar för att ställa diagnosen och etiologin för att bedöma vilken behandling som är den bästa att sätta in. Bland de tekniker som finns tillgängliga idag är följande:
- Allmänna kompletterande tester: Dessa är vanligtvis till liten hjälp och ospecifika.
- Lumbalpunktion: Detta rekommenderas inte när en fokal lesion med masseffekt misstänks. Resultaten är vanligtvis inte särskilt specifika.
- Datortomografi: Detta har stor diagnostisk användbarhet, eftersom det gör att man kan kontrollera eventuella kopplingar till det medicinska tillståndet och fastställa behandling enligt motsvarande fas. Denna teknik är också effektiv för att följa upp utvecklingen av sjukdomen efter behandlingen.
- Magnetisk resonanstomografi: Detta är den bästa typen av avbildningsstudie vid diagnos av en hjärnabscess. Det är mycket känsligare än datortomografi och erbjuder många fördelar vid upptäckt av tidig cerebrit och ödem och bättre differentiering mellan områden med inflammation och andra påverkade strukturer.
- Scintigrafi: Detta är en undersökningsmetod där man radioaktivt markerar vissa celler. Dessa celler ackumuleras vid inflammation och skiljer därmed hjärnabscess från andra eventuella orsaker till tillståndet.
- SPECT: Denna metod har visat vara effektiv för AIDS-patienter för att skilja mellan primärt cerebralt lymfom och infektiösa hjärnskador.
- Biopsi.

Hur ser behandlingen ut vid en hjärnabscess?
Behandlingen omfattar neurokirurgiska ingrepp som syftar till att dränera abscessen, och därtill läkemedel för att minska inflammation och storleken på lesionen. Antibiotika och kortikosteroider är några exempel.
Antibiotika
Ett kombination av vankomycin, ceftriaxon och metronidazol har visat sig effektiv. Tredje generationens cefalosporiner och metronidazol har ett adekvat antimikrobiellt spektrum och penetration i det centrala nervsystemet, varför de är effektiva vid de flesta infektioner associerade med detta tillstånd.
Kortikosteroider
Användningen av dessa läkemedel för att behandla denna patologi är kontroversiell, eftersom det inte finns några randomiserade studier som stöder deras effektivitet i denna miljö. Glukokortikoider administreras när det finns ett vasogent ödem runt abscessen, en masseffekt och ökat tryck.
Detta tyder på att de endast skulle kunna användas i den akuta fasen av sjukdomen för hantering av endokraniell hypertoni. Dessa läkemedel kan emellertid också vara effektiva för kontroll av postoperativa ödem i de fall som neurokirurgen rekommenderar detta.
Ett komplex tillstånd som kräver läkarvård
På grund av de potentiella komplikationer som kan uppstå bör patienter med symtom som är förenliga med en hjärnabscess så snart som möjligt uppsöka en akutmottagning för specialiserad utvärdering. Ju tidigare man kan sätta in behandling, desto större är chanserna för god återhämtning.
Samtliga citerade källor har granskats noggrant av vårt team för att säkerställa deras kvalitet, tillförlitlighet, aktualitet och giltighet. Bibliografin för denna artikel ansågs vara tillförlitlig och av akademisk eller vetenskaplig noggrannhet.
- Antonio, M. D. D. G., Elizabeth, A. Y., & Alberto, M. A. (2010). Absceso cerebral. Revista Mexicana de Neurociencia.
- Chacón Mercado, M. (2002). Abscesos cerebrales. Médica Sur.
- Molina de Dios, G., Armijo Yescas, E., & Mimenza Alvarado, A. (2010). Absceso cerebral. Revista Mexicana de Neurociencia. https://doi.org/10.1157/13042996
Denna text erbjuds endast i informativt syfte och ersätter inte konsultation med en professionell. Vid tveksamheter, rådfråga din specialist.







