Symptom på lungcancer och befintliga behandlingar

Lungorna är en viktig del av respirationssystemet. Luften som andas in genom näsan och munnen går genom luftstrupen ner i bronkerna, ner i lungorna. Symptom på lungcancer kan redan vara dödliga, vilket är varför det är viktigt att de upptäcks tidigt.
- När man andas in fylls lungorna med luft. Det är hur kroppen får syre.
- När luften sedan blåses ut igen släpper kroppen ut koldioxid.
Hur visar sig symptom på lungcancer? Allting börjar med cellerna som finns i kroppens olika vävnader och organ – i detta fall i lungorna.
Dessa celler delar på sig och bildar nya celler. När de är skadade eller blir gamla ersätts de av nya celler. Men ibland fungerar inte denna process, och börjar producera ett överskott av celler för att ersätta de gamla och skadade. Det är på så vis tumörer bildas.
Den vanligaste typen av lungcancer som många cancersymptom visar på är icke-småcellig lungcancer.
Olika typer av cancer

Icke-småcellig cancer kan kategoriseras i olika klasser, baserat på hur de ser ut under mikroskop:
- Skivepitelcancer: Denna typ av cancer kommer från skivepitel, vilka är tunna, platta celler liknande fiskfjäll.
- Storcelligt carcinom: Denna typ kommer från ett flertal olika typer av stora celler.
- Adenocarcinom: Denna cancer uppstår i cellerna som leder luftrörsförgreningarna och som skapar substanser som slem.
- Ovanliga typer: Pleomorfa carcinoida tumörer, carcinom i spottkörteln och oklassificerade carcinom.
Riskfaktorer för cancer
- Människor som röker löper 90% större risk att utveckla lungcancer.
- Tänk på att passiv rökning också kan ge lungcancer – det är lika farligt att inandas andras cigarettrök som att själv röka.
- Även inandning av substanser som arsenik, kisel och krom innebär risker.
Symptom på lungcancer

Det är inte möjligt att utforma en fullständig klinisk profil av symptom på lungcancer för att direkt kunna ställa diagnos.
Dock kan man urskilja följande typiska symptom på lungcancer:
- Konstant eller förvärrad hosta
- Bröstsmärtor
- Svårigheter att andas
- Hosta med blod eller rostfärgat slem
- Ihållande trötthet
- Heshet
- Oförklarlig viktminskning
- Infektioner som bronkit och lunginflammation
- Visslingar i bröstet
När lungcancern spridit sig till andra delar av kroppen kan man uppleva följande symptom på lungcancer:
- En gulnad i huden, om cancern spridit sig till levern
- Smärta inne i benen
- Huvudvärk
- Svaghet i armar och ben
- Yrsel
- Anfall
- Svullna lymfkörtlar som kommer av cellansamlingar i immunförsvaret
Har du dessa symptom och de håller i sig i mer än tre veckor är det viktigt att du uppsöker läkare för att göra en röntgenundersökning. Beroende på röntgenresultaten kan din läkare behöva din detaljerade medicinska journal och göra en fysisk kroppsundersökning kompletterade med laboratorietester.
Upptäckt av lungcancer
Detta är undersökningarna om patienten har symptom på lungcancer.
- Fysisk undersökning: en läkare kontrollerar patientens allmänna hälsa för att se om det finns knölar eller någonting annat ovanligt. Patientens tidigare medicinska historia tas i beaktning.
- Laboratorietester: Blodprov, urinprov, vävnadsprov och andra prover tas för att se om man kan upptäcka symptom på lungcancer.
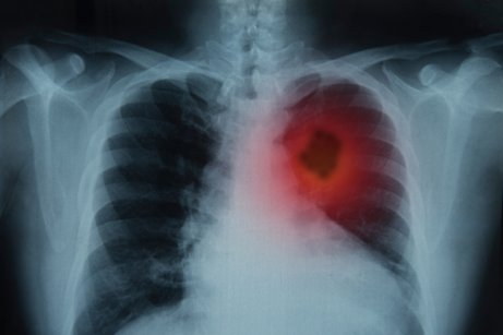
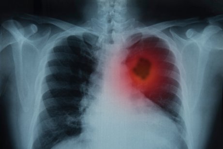
- Radiologi och röntgen: Med denna metod kan läkaren ta bilder på områden inne i kroppen.
- Genetiska tester: Dessa tester för att hitta genetiska mutationer kan göras för att bestämma cancertyp.
Obs! Det är viktigt att alla metoder för att upptäcka cancer är godkända av en läkare, eftersom alla kanske inte är nödvändiga eller kan innebära risker.
Behandling av lungcancer

Det finns dessutom olika behandlingar för lungcancer, beroende på hur allvarlig och långt gången den är. Följande är de vanligaste:
- Operation: Cancervävnaderna skärs bort i en operation.
- Kemoterapi: Man försöker minska eller helt få bort cancern med medicin i pillerform.
- Strålbehandling: Cancerceller strålas bort med stark radioaktiv strålning.
- Målinriktade läkemedel: Speciella mediciner sätts in för att stoppa spridningen av cancern.
Förebygga lungcancer
Det finns vissa saker du bör vara försiktig med eller helt undvika för att förebygga cancer.
- Sluta röka och andas in andrahandsrök.
- Ät mer frukt och grönsaker.
- Träna regelbundet.
- Bränn inte trä hemma, det kan frigöra skadliga substanser.
- Undvik industriområden.
- Minska alkoholkonsumtionen.
- Gör årliga hälsokontroller för att upptäcka abnormiteter och tidiga symptom på cancer.
Det är bättre att ta det säkra före det osäkra. Ignorera aldrig symptom på lungcancer; det är bättra att uppsöka läkare direkt.
Lungorna är en viktig del av respirationssystemet. Luften som andas in genom näsan och munnen går genom luftstrupen ner i bronkerna, ner i lungorna. Symptom på lungcancer kan redan vara dödliga, vilket är varför det är viktigt att de upptäcks tidigt.
- När man andas in fylls lungorna med luft. Det är hur kroppen får syre.
- När luften sedan blåses ut igen släpper kroppen ut koldioxid.
Hur visar sig symptom på lungcancer? Allting börjar med cellerna som finns i kroppens olika vävnader och organ – i detta fall i lungorna.
Dessa celler delar på sig och bildar nya celler. När de är skadade eller blir gamla ersätts de av nya celler. Men ibland fungerar inte denna process, och börjar producera ett överskott av celler för att ersätta de gamla och skadade. Det är på så vis tumörer bildas.
Den vanligaste typen av lungcancer som många cancersymptom visar på är icke-småcellig lungcancer.
Olika typer av cancer

Icke-småcellig cancer kan kategoriseras i olika klasser, baserat på hur de ser ut under mikroskop:
- Skivepitelcancer: Denna typ av cancer kommer från skivepitel, vilka är tunna, platta celler liknande fiskfjäll.
- Storcelligt carcinom: Denna typ kommer från ett flertal olika typer av stora celler.
- Adenocarcinom: Denna cancer uppstår i cellerna som leder luftrörsförgreningarna och som skapar substanser som slem.
- Ovanliga typer: Pleomorfa carcinoida tumörer, carcinom i spottkörteln och oklassificerade carcinom.
Riskfaktorer för cancer
- Människor som röker löper 90% större risk att utveckla lungcancer.
- Tänk på att passiv rökning också kan ge lungcancer – det är lika farligt att inandas andras cigarettrök som att själv röka.
- Även inandning av substanser som arsenik, kisel och krom innebär risker.
Symptom på lungcancer

Det är inte möjligt att utforma en fullständig klinisk profil av symptom på lungcancer för att direkt kunna ställa diagnos.
Dock kan man urskilja följande typiska symptom på lungcancer:
- Konstant eller förvärrad hosta
- Bröstsmärtor
- Svårigheter att andas
- Hosta med blod eller rostfärgat slem
- Ihållande trötthet
- Heshet
- Oförklarlig viktminskning
- Infektioner som bronkit och lunginflammation
- Visslingar i bröstet
När lungcancern spridit sig till andra delar av kroppen kan man uppleva följande symptom på lungcancer:
- En gulnad i huden, om cancern spridit sig till levern
- Smärta inne i benen
- Huvudvärk
- Svaghet i armar och ben
- Yrsel
- Anfall
- Svullna lymfkörtlar som kommer av cellansamlingar i immunförsvaret
Har du dessa symptom och de håller i sig i mer än tre veckor är det viktigt att du uppsöker läkare för att göra en röntgenundersökning. Beroende på röntgenresultaten kan din läkare behöva din detaljerade medicinska journal och göra en fysisk kroppsundersökning kompletterade med laboratorietester.
Upptäckt av lungcancer
Detta är undersökningarna om patienten har symptom på lungcancer.
- Fysisk undersökning: en läkare kontrollerar patientens allmänna hälsa för att se om det finns knölar eller någonting annat ovanligt. Patientens tidigare medicinska historia tas i beaktning.
- Laboratorietester: Blodprov, urinprov, vävnadsprov och andra prover tas för att se om man kan upptäcka symptom på lungcancer.
- Radiologi och röntgen: Med denna metod kan läkaren ta bilder på områden inne i kroppen.
- Genetiska tester: Dessa tester för att hitta genetiska mutationer kan göras för att bestämma cancertyp.
Obs! Det är viktigt att alla metoder för att upptäcka cancer är godkända av en läkare, eftersom alla kanske inte är nödvändiga eller kan innebära risker.
Behandling av lungcancer

Det finns dessutom olika behandlingar för lungcancer, beroende på hur allvarlig och långt gången den är. Följande är de vanligaste:
- Operation: Cancervävnaderna skärs bort i en operation.
- Kemoterapi: Man försöker minska eller helt få bort cancern med medicin i pillerform.
- Strålbehandling: Cancerceller strålas bort med stark radioaktiv strålning.
- Målinriktade läkemedel: Speciella mediciner sätts in för att stoppa spridningen av cancern.
Förebygga lungcancer
Det finns vissa saker du bör vara försiktig med eller helt undvika för att förebygga cancer.
- Sluta röka och andas in andrahandsrök.
- Ät mer frukt och grönsaker.
- Träna regelbundet.
- Bränn inte trä hemma, det kan frigöra skadliga substanser.
- Undvik industriområden.
- Minska alkoholkonsumtionen.
- Gör årliga hälsokontroller för att upptäcka abnormiteter och tidiga symptom på cancer.
Det är bättre att ta det säkra före det osäkra. Ignorera aldrig symptom på lungcancer; det är bättra att uppsöka läkare direkt.
Denna text erbjuds endast i informativt syfte och ersätter inte konsultation med en professionell. Vid tveksamheter, rådfråga din specialist.







