Egenskaper för osteosarkom hos barn

Osteosarkom är en allvarlig och dödlig form av cancer som kan sprida sig till andra delar av kroppen, särskilt lungorna – som tur är är det inte en typ av cancer som är vanlig hos barn. I fall med tidig upptäckt och snabb efterföljande behandling är prognosen dock betydligt bättre.
Osteosarkom står för 3 % av all cancer som uppstår hos barn. Det är också den vanligaste typen av skelettcancer och en av få som börjar direkt i benvävnaden. Tyvärr kan det spridas till andra delar av kroppen.
Överlevnaden för osteosarkom hos barn är cirka 60 till 80 % när den inte sprider sig längre än till den första tumören. Naturligtvis beror allt på effektiviteten på behandlingen, som oftast består av kemoterapi. Å andra sidan är chansen att överleva mycket lägre om den redan spridit sig till andra områden.
Enligt uppskattningar innebär ungefär hälften av alla fall av denna sjukdom hos barn att cancern sprider sig. De flesta diagnoserna inträffar mellan 10 och 30 års ålder. Det är dessutom vanligare hos ungdomar.
Vad är osteosarkom?

Detta är en typ av cancer som utvecklas i benceller. Det är också känt som osteogent sarkom och visar sig som en malign tumör som kan sprida sig till nästan vilken annan del av kroppen som helst – oftast först till lungorna.
Denna cancer börjar vanligtvis i slutet av benen i armar eller ben, men drabbar även andra ben i kroppen. Den växer vanligtvis i följande områden:
- Högst upp på knät eller på det distala lårbenet
- Nedanför knäet eller på det proximala smalbenet
- Under axeln eller proximala humerus
Osteosarkom uppstår vanligtvis hos barn som är äldre än 10 år. Vissa forskare tror att denna cancer beror på mutationer och fel i DNA i benceller i stadierna av intensiv tillväxt. I allmänhet drabbar det pojkar mer än flickor, och de flesta fall uppstår i knät.
Du kanske är intresserad av att läsa den här artikeln: Varningstecken på hudcancer att vara uppmärksam på
Typer av osteosarkom hos barn
Det finns främst två typer av osteosarkom hos barn och vuxna. Var och en av dem innehåller flera undertyper:
- En central tumör, även känd som en medullär tumör, som växer fram djupt inne i benet
- Konventionell central osteosarkom
- Telangiektatiskt
- Intraosseöst, väldifferentierat eller låggradigt
- Småcelligt osteosarkom
- En ytlig eller perifer tumör som uppträder i de grundare områdena
- Parostealt osteosarkom, också känt som juxtakortikalt
- Periostealt
- Slutligen ytligt osteosarkom av hög grad
Riskfaktorer
I allmänhet förekommer osteosarkom hos personer som varken har andra sjukdomar eller som har en familjehistoria av skelettcancer. Allt tyder på att det är en uppsättning genetiska förändringar som uppstår slumpmässigt som leder till att sjukdomen uppstår.
Som sagt, var medveten om att det i vissa fall finns faktorer som främjar utvecklingen av sjukdomen. Bland dem:
- Historik av strålbehandling för andra typer av cancer; speciellt i unga år
- Ärftligt retinoblastom
- Tidigare sjukdomar som Li-Fraumenis syndrom, Werners syndrom och Rothmund-Thomsons syndrom
Symptom på osteosarkom hos barn

Symptomen på osteosarkom hos barn varierar. Vissa patienter är faktiskt asymptomatiska. Men några av de vanligaste karaktärerna är:
- Smärta i ett ben eller en led, som ökar med tiden tills den blir outhärdlig
- Frakturer och brutna ben, utan uppenbar anledning
- Närvaron av en massa eller knuta
- Förlust av kontroll över tarmen eller urinblåsan.
- Smärtor i ryggen
Som du kan föreställa dig är det viktigt att vara uppmärksam på om något av dessa symptom förekommer, särskilt under tonåren. Tveka inte att rådfråga en specialist om du misstänker att något inte står rätt till.
Du kanske är intresserad av att läsa den här artikeln: Läkemedlet fulvestrant: Behandling vid östrogenreceptorpositiv bröstcancer
Diagnos och behandling
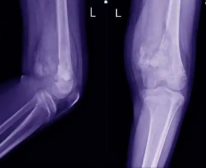
Diagnosen ställer en läkare vanligtvis på basis av en klinisk intervju och hälsoanamnes, tillsammans med några tester. Det börjar oftast med röntgen, som kompletteras med en MR-undersökning. Läkaren kommer att beställa en biopsi så snart hen upptäcker ett problem och kan identifiera området för detta.
Efter att ha bekräftat diagnosen kan läkaren att beställa en datortomografi av bröstet, en benskanning och ibland flera MR-undersökningar. Allt detta hjälper läkaren att ställa en mer exakt diagnos och besluta om en mer effektiv behandling.
Behandlingen av osteosarkom hos barn inkluderar kemoterapi och syftar till att minska cancermassan. Efteråt kommer det att bli nödvändigt med en operation för att ta bort tumörerna, och slutligen får patienten genomgå kemoterapi igen för att minimera sannolikheten för återkommande cancertillväxt.
Var uppmärksam på symptom på osteosarkom hos barn
Som du nu har fått läsa om så kan osteosarkom uppträda subtilt och utan tidigare sjukdomsbild hos barn. Dessutom måste föräldrar vara uppmärksamma på om det förekommer eventuella symptom, särskilt under tonåren.
Slutligen, om du misstänker att ditt barn kan ha sjukdomen, konsultera en specialist för att utesluta denna och andra möjliga sjukdomar som riskerar ditt barns hälsa.
Osteosarkom är en allvarlig och dödlig form av cancer som kan sprida sig till andra delar av kroppen, särskilt lungorna – som tur är är det inte en typ av cancer som är vanlig hos barn. I fall med tidig upptäckt och snabb efterföljande behandling är prognosen dock betydligt bättre.
Osteosarkom står för 3 % av all cancer som uppstår hos barn. Det är också den vanligaste typen av skelettcancer och en av få som börjar direkt i benvävnaden. Tyvärr kan det spridas till andra delar av kroppen.
Överlevnaden för osteosarkom hos barn är cirka 60 till 80 % när den inte sprider sig längre än till den första tumören. Naturligtvis beror allt på effektiviteten på behandlingen, som oftast består av kemoterapi. Å andra sidan är chansen att överleva mycket lägre om den redan spridit sig till andra områden.
Enligt uppskattningar innebär ungefär hälften av alla fall av denna sjukdom hos barn att cancern sprider sig. De flesta diagnoserna inträffar mellan 10 och 30 års ålder. Det är dessutom vanligare hos ungdomar.
Vad är osteosarkom?

Detta är en typ av cancer som utvecklas i benceller. Det är också känt som osteogent sarkom och visar sig som en malign tumör som kan sprida sig till nästan vilken annan del av kroppen som helst – oftast först till lungorna.
Denna cancer börjar vanligtvis i slutet av benen i armar eller ben, men drabbar även andra ben i kroppen. Den växer vanligtvis i följande områden:
- Högst upp på knät eller på det distala lårbenet
- Nedanför knäet eller på det proximala smalbenet
- Under axeln eller proximala humerus
Osteosarkom uppstår vanligtvis hos barn som är äldre än 10 år. Vissa forskare tror att denna cancer beror på mutationer och fel i DNA i benceller i stadierna av intensiv tillväxt. I allmänhet drabbar det pojkar mer än flickor, och de flesta fall uppstår i knät.
Du kanske är intresserad av att läsa den här artikeln: Varningstecken på hudcancer att vara uppmärksam på
Typer av osteosarkom hos barn
Det finns främst två typer av osteosarkom hos barn och vuxna. Var och en av dem innehåller flera undertyper:
- En central tumör, även känd som en medullär tumör, som växer fram djupt inne i benet
- Konventionell central osteosarkom
- Telangiektatiskt
- Intraosseöst, väldifferentierat eller låggradigt
- Småcelligt osteosarkom
- En ytlig eller perifer tumör som uppträder i de grundare områdena
- Parostealt osteosarkom, också känt som juxtakortikalt
- Periostealt
- Slutligen ytligt osteosarkom av hög grad
Riskfaktorer
I allmänhet förekommer osteosarkom hos personer som varken har andra sjukdomar eller som har en familjehistoria av skelettcancer. Allt tyder på att det är en uppsättning genetiska förändringar som uppstår slumpmässigt som leder till att sjukdomen uppstår.
Som sagt, var medveten om att det i vissa fall finns faktorer som främjar utvecklingen av sjukdomen. Bland dem:
- Historik av strålbehandling för andra typer av cancer; speciellt i unga år
- Ärftligt retinoblastom
- Tidigare sjukdomar som Li-Fraumenis syndrom, Werners syndrom och Rothmund-Thomsons syndrom
Symptom på osteosarkom hos barn

Symptomen på osteosarkom hos barn varierar. Vissa patienter är faktiskt asymptomatiska. Men några av de vanligaste karaktärerna är:
- Smärta i ett ben eller en led, som ökar med tiden tills den blir outhärdlig
- Frakturer och brutna ben, utan uppenbar anledning
- Närvaron av en massa eller knuta
- Förlust av kontroll över tarmen eller urinblåsan.
- Smärtor i ryggen
Som du kan föreställa dig är det viktigt att vara uppmärksam på om något av dessa symptom förekommer, särskilt under tonåren. Tveka inte att rådfråga en specialist om du misstänker att något inte står rätt till.
Du kanske är intresserad av att läsa den här artikeln: Läkemedlet fulvestrant: Behandling vid östrogenreceptorpositiv bröstcancer
Diagnos och behandling
Diagnosen ställer en läkare vanligtvis på basis av en klinisk intervju och hälsoanamnes, tillsammans med några tester. Det börjar oftast med röntgen, som kompletteras med en MR-undersökning. Läkaren kommer att beställa en biopsi så snart hen upptäcker ett problem och kan identifiera området för detta.
Efter att ha bekräftat diagnosen kan läkaren att beställa en datortomografi av bröstet, en benskanning och ibland flera MR-undersökningar. Allt detta hjälper läkaren att ställa en mer exakt diagnos och besluta om en mer effektiv behandling.
Behandlingen av osteosarkom hos barn inkluderar kemoterapi och syftar till att minska cancermassan. Efteråt kommer det att bli nödvändigt med en operation för att ta bort tumörerna, och slutligen får patienten genomgå kemoterapi igen för att minimera sannolikheten för återkommande cancertillväxt.
Var uppmärksam på symptom på osteosarkom hos barn
Som du nu har fått läsa om så kan osteosarkom uppträda subtilt och utan tidigare sjukdomsbild hos barn. Dessutom måste föräldrar vara uppmärksamma på om det förekommer eventuella symptom, särskilt under tonåren.
Slutligen, om du misstänker att ditt barn kan ha sjukdomen, konsultera en specialist för att utesluta denna och andra möjliga sjukdomar som riskerar ditt barns hälsa.
Samtliga citerade källor har granskats noggrant av vårt team för att säkerställa deras kvalitet, tillförlitlighet, aktualitet och giltighet. Bibliografin för denna artikel ansågs vara tillförlitlig och av akademisk eller vetenskaplig noggrannhet.
- Bello, A., Márquez, A. H., & Noris-Suárez, K. (2007). El grado de glicosilación del colágeno óseo regula la adhesión y la capacidad de biomineralizar de las células óseas. In IV Latin American Congress on Biomedical Engineering 2007, Bioengineering Solutions for Latin America Health (pp. 663-666). Springer, Berlin, Heidelberg.
- Millán-Rodríguez, A. C., Lázaro-González, V., Dios-Castro, E., R Regal, A., Cores, F. J., & Fernández-Vila, P. C. (2008). Disminución de agudeza visual, primer síntoma de un tumor medular. Archivos de la Sociedad Española de Oftalmología, 83(7), 437-440.
- Cortés-Rodríguez, R., Castañeda-Pichardo, G., & Tercero-Quintanilla, G. (2010). Guía de diagnóstico y tratamiento para pacientes pediátricos con osteosarcoma. Archivos de Investigación Materno Infantil, 2(2), 60-66.
Denna text erbjuds endast i informativt syfte och ersätter inte konsultation med en professionell. Vid tveksamheter, rådfråga din specialist.







