Symptom på akut kranskärlssjukdom (ACS)

Akut kranskärlssjukdom inträffar när blodflödet till hjärtat drastiskt minskas. I de flesta fall orsakas det av en ruptur i ateromet i kranskärlen. Idag tittar vi på symptom på akut kranskärlssjukdom.
Ateromer är onormala ansamlingar av material i blodkärlen. När fragment av detta aterom släpper orsakar det trombos. Detta leder i sin tur till total eller delvis blockering av ett kranskärl.
Kranskärlen är de huvudsakliga blodkärlen som tillhandahåller hjärtat med blod. Därför leder obstruktionen till minskat blodflöde till hjärtat. Detta leder till ischemisk hjärtsjukdom.
Detta är den huvudsakliga orsaken till ACS, men andra saker kan också leda till det, inklusive:
- Kawasakis sjukdom
- Ledgångsreumatism
- Trauma
- Kranskärlstrombos
- Hyperkoagulerande tillstånd
- Artäremboli
- Spontan kranskärlsdissektion
- Medfödda anomalier
Kliniska symptom på akut kranskärlssjukdom

Bröstsmärta är ett huvudsakligt symptom på akut kranskärlssjukdom. Men andra symptom kan också inträffa.
Ett huvudsakligt symptom på akut kranskärlssjukdom visar sig runt bröstbenet eller magen. Smärtan kan även sprida sig till axlar, nacke och hals.
Smärtan är plötslig och blir mer intensiv i takt med att tiden går. Vanligtvis når den sin topp efter 2-5 minuter. Episoderna kan dock vara utspridda ibland.
Andra symptom inkluderar illamående, kräkningar, buksmärta eller yrsel. Vidare kan vissa patienter uppvisa hypotoni, svettningar, blekhet och oregelbunden puls.
Hos unga patienter mellan 25 och 40 år och äldre patienter över 75 kan den kliniska bilden dock vara atypisk och ospecifik. Den kan visa sig som epigastrisk smärta, en känsla som av matsmältningsproblem, trötthet eller svimningar.
Diagnos av akut kranskärlssjukdom
Vanligtvis diagnostiserar läkare ACS efter att en patient upplevt bröstsmärta med misstänkt ischemi. I dessa fall kommer läkaren utföra tester för att slå fast sjukdomens närvaro och allvarlighet.
Härnäst ska vi titta på dessa tester
Elektrokardiogram

Ett elektrokardiogram är det föredragna diagnostiska testet för hjärtproblem.
Detta är ett medicinskt test som spelar in hjärtats elektriska aktivitet för varje hjärtslag. Den använder en grafisk representation för att visa den elektriska stimulansen hos förmaken och ventriklerna (hjärtats rörelse).
Vid misstanke bör läkaren genomföra ett elektrokardiogram inom de första tio minuterna.
Om resultaten är tvetydiga men kliniska bevis fortfarande finns, rekommenderar experter att läkaren upprepar elektrokardiogrammet var 15:e till 30:e minut.
Hjärtenzymer
Vidare möjliggör blodprov läkaren att analysera hjärtenzymerna som indikerar närvaron av myokardial nekros.
Om markörerna för detta – troponiner och CPK-MB – är höga, bör man misstänka hjärninfarkt.
Specialister rekommenderar att läkare analyserar dessa markörer under de inledande 60 minuterna.
Frånvaron av markörerna under en inledande analys utesluter dock inte hjärtskada. Därför bör läkarna upprepa testet sex och tolv timmar efter att bröstsmärtan uppstått.
Denna artikel kanske intresserar dig: Lär dig att känna igen vanliga tecken på hjärtinfarkt
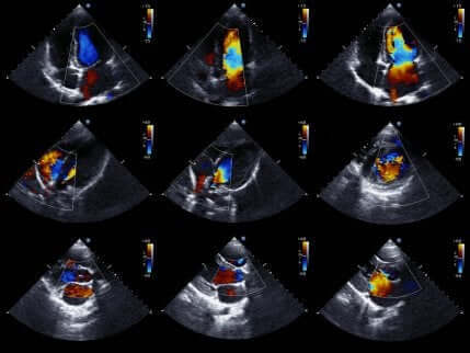
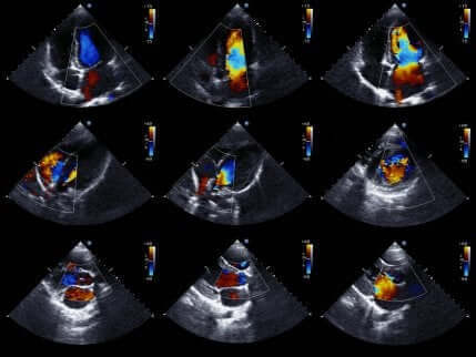
Ultraljud

Avslutningsvis låter ultraljud läkarna studera hjärtat i mer detalj.
Ultraljud är ett väldigt populärt medicinskt test eftersom det ger rörliga bilder av hjärtat. Därmed kan det utvärdera statusen hos hjärtats kammare och deras rörelse för att bekräfta eller utesluta ischemi.
Det utvärderar även hjärtats storlek och styrka, såväl som tillståndet hos väggarna i hjärtkammarna.
Det är ett icke-invasivt test som inte involverar någon risk för patienten. Detta eftersom det använder ultraljud för att få hjärtbilder.
Om läkaren använder detta test så kan frånvaron av rörelsestörningar i hjärtväggen utesluta närvaron av ischemi. Närvaron av rörelsestörningar är trots allt inte ett unikt symptom för akut kranskärlssjukdom.
Därför måste de olika testresultaten utvärderas tillsammans.
Andra tester för akut kranskärlssjukdom
Ibland kan läkare rekommendera angiografi av ett kranskärl. Detta är ett test som använder ett kontrastmedel och röntgen för att observera hur blodet flödar genom hjärtat.
Akut kranskärlssjukdom inträffar när blodflödet till hjärtat drastiskt minskas. I de flesta fall orsakas det av en ruptur i ateromet i kranskärlen. Idag tittar vi på symptom på akut kranskärlssjukdom.
Ateromer är onormala ansamlingar av material i blodkärlen. När fragment av detta aterom släpper orsakar det trombos. Detta leder i sin tur till total eller delvis blockering av ett kranskärl.
Kranskärlen är de huvudsakliga blodkärlen som tillhandahåller hjärtat med blod. Därför leder obstruktionen till minskat blodflöde till hjärtat. Detta leder till ischemisk hjärtsjukdom.
Detta är den huvudsakliga orsaken till ACS, men andra saker kan också leda till det, inklusive:
- Kawasakis sjukdom
- Ledgångsreumatism
- Trauma
- Kranskärlstrombos
- Hyperkoagulerande tillstånd
- Artäremboli
- Spontan kranskärlsdissektion
- Medfödda anomalier
Kliniska symptom på akut kranskärlssjukdom

Bröstsmärta är ett huvudsakligt symptom på akut kranskärlssjukdom. Men andra symptom kan också inträffa.
Ett huvudsakligt symptom på akut kranskärlssjukdom visar sig runt bröstbenet eller magen. Smärtan kan även sprida sig till axlar, nacke och hals.
Smärtan är plötslig och blir mer intensiv i takt med att tiden går. Vanligtvis når den sin topp efter 2-5 minuter. Episoderna kan dock vara utspridda ibland.
Andra symptom inkluderar illamående, kräkningar, buksmärta eller yrsel. Vidare kan vissa patienter uppvisa hypotoni, svettningar, blekhet och oregelbunden puls.
Hos unga patienter mellan 25 och 40 år och äldre patienter över 75 kan den kliniska bilden dock vara atypisk och ospecifik. Den kan visa sig som epigastrisk smärta, en känsla som av matsmältningsproblem, trötthet eller svimningar.
Diagnos av akut kranskärlssjukdom
Vanligtvis diagnostiserar läkare ACS efter att en patient upplevt bröstsmärta med misstänkt ischemi. I dessa fall kommer läkaren utföra tester för att slå fast sjukdomens närvaro och allvarlighet.
Härnäst ska vi titta på dessa tester
Elektrokardiogram

Ett elektrokardiogram är det föredragna diagnostiska testet för hjärtproblem.
Detta är ett medicinskt test som spelar in hjärtats elektriska aktivitet för varje hjärtslag. Den använder en grafisk representation för att visa den elektriska stimulansen hos förmaken och ventriklerna (hjärtats rörelse).
Vid misstanke bör läkaren genomföra ett elektrokardiogram inom de första tio minuterna.
Om resultaten är tvetydiga men kliniska bevis fortfarande finns, rekommenderar experter att läkaren upprepar elektrokardiogrammet var 15:e till 30:e minut.
Hjärtenzymer
Vidare möjliggör blodprov läkaren att analysera hjärtenzymerna som indikerar närvaron av myokardial nekros.
Om markörerna för detta – troponiner och CPK-MB – är höga, bör man misstänka hjärninfarkt.
Specialister rekommenderar att läkare analyserar dessa markörer under de inledande 60 minuterna.
Frånvaron av markörerna under en inledande analys utesluter dock inte hjärtskada. Därför bör läkarna upprepa testet sex och tolv timmar efter att bröstsmärtan uppstått.
Denna artikel kanske intresserar dig: Lär dig att känna igen vanliga tecken på hjärtinfarkt
Ultraljud

Avslutningsvis låter ultraljud läkarna studera hjärtat i mer detalj.
Ultraljud är ett väldigt populärt medicinskt test eftersom det ger rörliga bilder av hjärtat. Därmed kan det utvärdera statusen hos hjärtats kammare och deras rörelse för att bekräfta eller utesluta ischemi.
Det utvärderar även hjärtats storlek och styrka, såväl som tillståndet hos väggarna i hjärtkammarna.
Det är ett icke-invasivt test som inte involverar någon risk för patienten. Detta eftersom det använder ultraljud för att få hjärtbilder.
Om läkaren använder detta test så kan frånvaron av rörelsestörningar i hjärtväggen utesluta närvaron av ischemi. Närvaron av rörelsestörningar är trots allt inte ett unikt symptom för akut kranskärlssjukdom.
Därför måste de olika testresultaten utvärderas tillsammans.
Andra tester för akut kranskärlssjukdom
Ibland kan läkare rekommendera angiografi av ett kranskärl. Detta är ett test som använder ett kontrastmedel och röntgen för att observera hur blodet flödar genom hjärtat.
Samtliga citerade källor har granskats noggrant av vårt team för att säkerställa deras kvalitet, tillförlitlighet, aktualitet och giltighet. Bibliografin för denna artikel ansågs vara tillförlitlig och av akademisk eller vetenskaplig noggrannhet.
- Cabrera S, Serrano I, Sans J, Bardají A. Protocolo diagnóstico del dolor torácico agudo. En: Urgencias. Unidades de dolor torácico. Medicine 2009;10(37)2511-4.
- Fauci, Braunwald, Kasper, Hauser, Longo, Jameson et al. Harrison, principios de Medicina Interna. Vol I-17a Edición. Mc Graw Hill Año 2009:87-91.
- Segura De La Cal, T., Carbonell San Román, S. A., & Zamorano Gómez, J. L. (2013). Síndrome coronario agudo. Medicine (Spain). https://doi.org/10.1016/S0304-5412(13)70608-5
- Sociedad Española de Cardiología. (2017). Proceso asistencial simplificado del síndrome coronario agudo. Sociedad Española de Cardiología. https://doi.org/http://dx.doi.org/10.2139/
- Lee Th, Goldman L. Evaluation Of The Patient With Acte Chest Pain. New England Journal Med 2000;342:1187-95
Denna text erbjuds endast i informativt syfte och ersätter inte konsultation med en professionell. Vid tveksamheter, rådfråga din specialist.







