Orsakerna till gemensam artärstam


Skriven och verifierad av nutritionist Eliana Delgado Villanueva
Idag ska vi tala om orsakerna till gemensam artärstam, som är en medfödd missbildning där en enda artär går från ett hjärta utan välutvecklade ventriklar & förmak.
Med andra ord har personen en stor artär istället för två separata. Detta är en sällsynt hjärtsjukdom som inträffar hos runt 0,21-0,34% av alla människor.
Orsakerna till gemensam artärstam

Hos ett normalt hjärta följer blodet denna cykel: kropp-hjärta-lungor-hjärta-kropp. När en person har gemensam artärstam så följer inte blodet som lämnar hjärtat den normala cykeln.
I dessa fall har inte hjärtat fyra separata kammare, utan bara en. Man har alltså varken förmak eller ventriklar som separerar blodet (beroende på dess ursprung och destination).
Därför finns det bara en gemensam artär och heller ingen specifik rutt för blod med koldioxid och blod med syresatt blod.
Ett typiskt hjärta har två separata vägar: en för syresatt blod och en annan för blod med mycket koldioxid.
Gemensam artärstam dyker upp under fostrets tillväxt när hjärtat utvecklas. Därför är detta tillstånd närvarande vid födseln och alltså medfött.
Orsakerna till gemensam artärstam är fortfarande okända i de flesta fallen, men vi känner till flertalet faktorer som kan öka risken för det, inklusive:
- Familjehistoria av medfödda hjärtproblem.
- Barn med kromosomanomalier löper högre risk för att utveckla tillståndet. Detta är framförallt sant för personer med 22q11-deletionsyndrom.
- Vissa läkemedel som tas under graviditeten kan skada fostret.
- Kvinnor som får virala sjukdomar såsom rubella kan löpa högre risk att föda bebisar med gemensam artärstam.
Vilka är symptomen?
Varje patient kan uppleva olika symptom, men det finns vissa gemensamma hos alla bebisar med detta tillstånd.
De vanligaste är:
- Cyanos (blåaktig färg hos hud och slemhinnor)
- Trötthet
- Svettningar
- Kall hud
- Svår, snabb andning
- Högre hjärtfrekvens
- Täppta luftrör
- Aptitbrist
Men alla dessa symptom delas med andra tillstånd och till och med andra hjärtproblem, så det är viktigt att tala med en läkare om barnet uppvisar dem.
Du kanske även gillar: Hur man tar hand om barn med psoriasis
Hur diagnostiseras det?

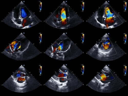
Ekokardiogram är en av de mest effektiva teknikerna för att diagnostisera medfödda hjärtproblem.
Läkare kan vanligtvis diagnostisera denna typ av anomali innan bebisen fötts. För att göra det använder man ett ekokardiogram, som är en teknik med ljudvågor för att skapa rörliga hjärtbilder.
Tack vare detta kan de se hur hjärtat ser ut och undersöka dessa funktion när bebisen fortfarande är i livmodern. Med denna information kan läkarna planera behandlingen och påbörja den direkt efter födseln.
Det finns även ett test som undersöker mängden syre i blodomloppet. Detta är ofta den första ledtråden till att det finns ett hjärtproblem.
Läs även: Bra för hjärtats hälsa: havre och äpplen
Behandling av gemensam artärstam
Dessvärre tyder data från studier av detta tillstånd på en dödlighet på runt 50% under den första levnadsmånaden. Efter det är chansen för överlevnad under det första året 10-25%.
Många av de som överlever drabbas även av allvarliga problem med lungartärerna, vilket ofta är oåterkalleligt.
När det kommer till behandling måste bebisar med detta tillstånd genomgå hjärtkirurgi för att förebygga möjliga komplikationer. Denna procedur utförs vanligtvis under den första levnadsmånaden.
Under operationen separerar läkarna förmaket och lungartärerna. Detta för att skapa ett sätt för blodet att gå från den högre ventrikeln hos hjärtat till lungorna.
De korrigerar även den mellanventrikulära kommunikationen och andra abnormiteter som upptäcks.
Om operationen inte korrigerar detta problem så kan bebisen dö, men den är vanligtvis framgångsrik.
Idag ska vi tala om orsakerna till gemensam artärstam, som är en medfödd missbildning där en enda artär går från ett hjärta utan välutvecklade ventriklar & förmak.
Med andra ord har personen en stor artär istället för två separata. Detta är en sällsynt hjärtsjukdom som inträffar hos runt 0,21-0,34% av alla människor.
Orsakerna till gemensam artärstam

Hos ett normalt hjärta följer blodet denna cykel: kropp-hjärta-lungor-hjärta-kropp. När en person har gemensam artärstam så följer inte blodet som lämnar hjärtat den normala cykeln.
I dessa fall har inte hjärtat fyra separata kammare, utan bara en. Man har alltså varken förmak eller ventriklar som separerar blodet (beroende på dess ursprung och destination).
Därför finns det bara en gemensam artär och heller ingen specifik rutt för blod med koldioxid och blod med syresatt blod.
Ett typiskt hjärta har två separata vägar: en för syresatt blod och en annan för blod med mycket koldioxid.
Gemensam artärstam dyker upp under fostrets tillväxt när hjärtat utvecklas. Därför är detta tillstånd närvarande vid födseln och alltså medfött.
Orsakerna till gemensam artärstam är fortfarande okända i de flesta fallen, men vi känner till flertalet faktorer som kan öka risken för det, inklusive:
- Familjehistoria av medfödda hjärtproblem.
- Barn med kromosomanomalier löper högre risk för att utveckla tillståndet. Detta är framförallt sant för personer med 22q11-deletionsyndrom.
- Vissa läkemedel som tas under graviditeten kan skada fostret.
- Kvinnor som får virala sjukdomar såsom rubella kan löpa högre risk att föda bebisar med gemensam artärstam.
Vilka är symptomen?
Varje patient kan uppleva olika symptom, men det finns vissa gemensamma hos alla bebisar med detta tillstånd.
De vanligaste är:
- Cyanos (blåaktig färg hos hud och slemhinnor)
- Trötthet
- Svettningar
- Kall hud
- Svår, snabb andning
- Högre hjärtfrekvens
- Täppta luftrör
- Aptitbrist
Men alla dessa symptom delas med andra tillstånd och till och med andra hjärtproblem, så det är viktigt att tala med en läkare om barnet uppvisar dem.
Du kanske även gillar: Hur man tar hand om barn med psoriasis
Hur diagnostiseras det?

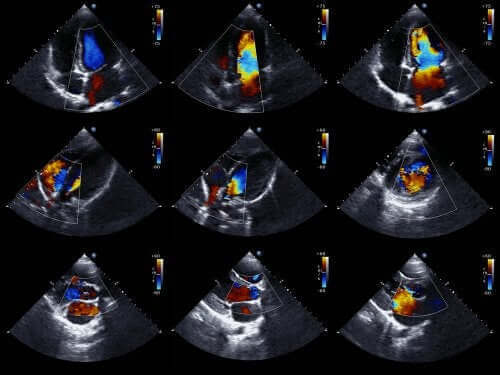
Ekokardiogram är en av de mest effektiva teknikerna för att diagnostisera medfödda hjärtproblem.
Läkare kan vanligtvis diagnostisera denna typ av anomali innan bebisen fötts. För att göra det använder man ett ekokardiogram, som är en teknik med ljudvågor för att skapa rörliga hjärtbilder.
Tack vare detta kan de se hur hjärtat ser ut och undersöka dessa funktion när bebisen fortfarande är i livmodern. Med denna information kan läkarna planera behandlingen och påbörja den direkt efter födseln.
Det finns även ett test som undersöker mängden syre i blodomloppet. Detta är ofta den första ledtråden till att det finns ett hjärtproblem.
Läs även: Bra för hjärtats hälsa: havre och äpplen
Behandling av gemensam artärstam
Dessvärre tyder data från studier av detta tillstånd på en dödlighet på runt 50% under den första levnadsmånaden. Efter det är chansen för överlevnad under det första året 10-25%.
Många av de som överlever drabbas även av allvarliga problem med lungartärerna, vilket ofta är oåterkalleligt.
När det kommer till behandling måste bebisar med detta tillstånd genomgå hjärtkirurgi för att förebygga möjliga komplikationer. Denna procedur utförs vanligtvis under den första levnadsmånaden.
Under operationen separerar läkarna förmaket och lungartärerna. Detta för att skapa ett sätt för blodet att gå från den högre ventrikeln hos hjärtat till lungorna.
De korrigerar även den mellanventrikulära kommunikationen och andra abnormiteter som upptäcks.
Om operationen inte korrigerar detta problem så kan bebisen dö, men den är vanligtvis framgångsrik.
Samtliga citerade källor har granskats noggrant av vårt team för att säkerställa deras kvalitet, tillförlitlighet, aktualitet och giltighet. Bibliografin för denna artikel ansågs vara tillförlitlig och av akademisk eller vetenskaplig noggrannhet.
- Carr AC, Maggini S. Vitamin C and Immune Function. Nutrients. 2017 Nov 3;9(11):1211
- Langan RC, Goodbred AJ. Vitamin B12 Deficiency: Recognition and Management. Am Fam Physician. 2017 Sep 15;96(6):384-389.
- Baladia E., Manera M., Basulto J., Las dietas hipocalóricas se asocian a una ingesta baja de algunas vitaminas: una revisión. Actividad Dietética, 2008.
Denna text erbjuds endast i informativt syfte och ersätter inte konsultation med en professionell. Vid tveksamheter, rådfråga din specialist.







