Exakt vad är en lungknuta? Behöver det vara cancer?

När man hör att någon har en lungknuta brukar cancer vara det första man tänker på. Men för det mesta är detta faktiskt ett godartat tillstånd, även om det kan finnas en koppling mellan de två. En lungknuta är en massa som mäter mellan fem och 30 millimeter. Det är ett allt vanligare tillstånd, och nuvarande uppskattningar indikerar att det påverkar cirka 0,2% av befolkningen. Den goda nyheten är att nästan 60% av dessa knölar är godartade.
Orsakerna till detta tillstånd sträcker sig från en infektion till en tumör. De flesta av tumörerna hittas av en slump när man utför en datortomografi eller röntgen.
Det är viktigt att diagnostisera denna situation tidigt för att undvika komplikationer och utesluta något allvarligare. I dagens artikel förklarar vi alltså allt du behöver veta om vad en lungknuta är, samt vilka symtom som uppstår.
Orsaker till en lungknuta
Som vi nämnde ovan är en lungknuta en massa i lungan, och dess bakomliggande orsaker varierar. De flesta knutor beror på en infektion – antingen bakteriell, svamp eller parasit.
När det gäller smittsamma orsaker bör du notera att lungknutor är vanliga hos personer med tuberkulosinfektion. Ja, trots att det inte är många som nuförtiden drabbas av tuberkulos, så händer det ibland.
Du kanske också gillar: 7 livsmedel som kan förbättra lunghälsan
Neoplastisk sjukdom
Det första en läkare för närvarande gör är att utesluta att lungknutan är cancerframkallande. Detta beror på att lungcancer är en av de vanligaste cancerformerna. I sådana fall har knölen ett oregelbundet utseende med dåligt definierade kanter; detta syns på röntgenbilder. Dessutom är dessa knölar vanligtvis mindre än de godartade. Elakartade knölar kommer också med vissa riskfaktorer, till exempel:
- Rökning
- Patienten är över 35 år
- En tidigare historia av cancer
- Lungknutan har vuxit snabbt under de senaste månaderna
Det är dock viktigt att veta att det inte är alla neoplastiska lungknutor som är elakartade. Det finns en del godartade, även om detta inte är lika vanligt.

Andra orsaker till lungknutor
Det finns många andra sjukdomar som kan resultera i detta lungtillstånd, till exempel vissa autoimmuna sjukdomar som Wegeners granulomatos eller reumatoid knuta. Båda är dock sällsynta. Lungknutor kan också förekomma som ett resultat av trauma hos vissa människor. Detta beror troligen på en metabolisk sjukdom som kallas amyloidos eller kan uppstå efter uppkomsten av en bronkialcysta.
Hur diagnostiserar läkare en lungknuta?
För det första är det viktigt att ha en fullständig medicinsk historia för att kunna diagnostisera en lungknuta och fastställa dess orsak. En patient måste veta om de tidigare har haft tuberkulos, eller om de har utsatts för vissa infektioner eller infekterade personer. Det är också viktigt att veta om patienten är rökare eller inte. Många studier avslöjar att en stor del av lungknutor är cancerförstadier och ofta relaterade till rökning.
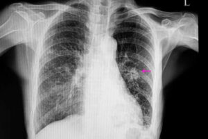
När detta är gjort måste en läkare utföra vissa avbildningstester för att lokalisera knutan. Dessa bilder gör att läkaren kan observera vissa egenskaper som form och storlek. På så sätt kan läkaren differentiera en godartad knuta från en eventuellt malign.
De vanligaste sätten för diagnostisk är med hjälp av bröströntgen och datortomografier. För att ta reda på den exakta orsaken bakom en lungknuta gör läkare ibland också biopsier, eftersom de på så vis kan analysera vävnaden.

Du kanske också är intresserad av: Nanopartiklar i teblad kan döda lungcancerceller
Vilken är den bästa behandlingen?
Behandlingen som följer beror på den bakomliggande orsaken till lungknutan. För det första kanske patienten behöver antibiotika eller svampdödande medel om knutan beror på en smittsam infektion.
När den bakomliggande orsaken är oklar kommer behandlingen att fokusera på patientens risk för cancer. Till exempel kan unga icke-rökare vars knuta inte tycks vara malign bara bli inkallade för regelbundna kontroller. Huvudsakligen för att kontrollera om knutan förändras eller växer.
På samma sätt är det, om det finns risk för cancer, viktigt att läkaren följer upp med en biopsi. Efteråt, ifall man fastställer att knutan är cancerframkallande, kan man schemalägga en operation för att ta bort den. När en operation inte är möjlig kan läkare föreslå kemoterapi eller strålbehandling.
Slutligen måste vi lyfta fram den negativa effekten av tobak för lungorna. Du bör vara medveten om risken med rökning och ofta gå på medicinska kontroller för att diagnostisera denna typ av patologi så snart som möjligt.
När man hör att någon har en lungknuta brukar cancer vara det första man tänker på. Men för det mesta är detta faktiskt ett godartat tillstånd, även om det kan finnas en koppling mellan de två. En lungknuta är en massa som mäter mellan fem och 30 millimeter. Det är ett allt vanligare tillstånd, och nuvarande uppskattningar indikerar att det påverkar cirka 0,2% av befolkningen. Den goda nyheten är att nästan 60% av dessa knölar är godartade.
Orsakerna till detta tillstånd sträcker sig från en infektion till en tumör. De flesta av tumörerna hittas av en slump när man utför en datortomografi eller röntgen.
Det är viktigt att diagnostisera denna situation tidigt för att undvika komplikationer och utesluta något allvarligare. I dagens artikel förklarar vi alltså allt du behöver veta om vad en lungknuta är, samt vilka symtom som uppstår.
Orsaker till en lungknuta
Som vi nämnde ovan är en lungknuta en massa i lungan, och dess bakomliggande orsaker varierar. De flesta knutor beror på en infektion – antingen bakteriell, svamp eller parasit.
När det gäller smittsamma orsaker bör du notera att lungknutor är vanliga hos personer med tuberkulosinfektion. Ja, trots att det inte är många som nuförtiden drabbas av tuberkulos, så händer det ibland.
Du kanske också gillar: 7 livsmedel som kan förbättra lunghälsan
Neoplastisk sjukdom
Det första en läkare för närvarande gör är att utesluta att lungknutan är cancerframkallande. Detta beror på att lungcancer är en av de vanligaste cancerformerna. I sådana fall har knölen ett oregelbundet utseende med dåligt definierade kanter; detta syns på röntgenbilder. Dessutom är dessa knölar vanligtvis mindre än de godartade. Elakartade knölar kommer också med vissa riskfaktorer, till exempel:
- Rökning
- Patienten är över 35 år
- En tidigare historia av cancer
- Lungknutan har vuxit snabbt under de senaste månaderna
Det är dock viktigt att veta att det inte är alla neoplastiska lungknutor som är elakartade. Det finns en del godartade, även om detta inte är lika vanligt.

Andra orsaker till lungknutor
Det finns många andra sjukdomar som kan resultera i detta lungtillstånd, till exempel vissa autoimmuna sjukdomar som Wegeners granulomatos eller reumatoid knuta. Båda är dock sällsynta. Lungknutor kan också förekomma som ett resultat av trauma hos vissa människor. Detta beror troligen på en metabolisk sjukdom som kallas amyloidos eller kan uppstå efter uppkomsten av en bronkialcysta.
Hur diagnostiserar läkare en lungknuta?
För det första är det viktigt att ha en fullständig medicinsk historia för att kunna diagnostisera en lungknuta och fastställa dess orsak. En patient måste veta om de tidigare har haft tuberkulos, eller om de har utsatts för vissa infektioner eller infekterade personer. Det är också viktigt att veta om patienten är rökare eller inte. Många studier avslöjar att en stor del av lungknutor är cancerförstadier och ofta relaterade till rökning.
När detta är gjort måste en läkare utföra vissa avbildningstester för att lokalisera knutan. Dessa bilder gör att läkaren kan observera vissa egenskaper som form och storlek. På så sätt kan läkaren differentiera en godartad knuta från en eventuellt malign.
De vanligaste sätten för diagnostisk är med hjälp av bröströntgen och datortomografier. För att ta reda på den exakta orsaken bakom en lungknuta gör läkare ibland också biopsier, eftersom de på så vis kan analysera vävnaden.

Du kanske också är intresserad av: Nanopartiklar i teblad kan döda lungcancerceller
Vilken är den bästa behandlingen?
Behandlingen som följer beror på den bakomliggande orsaken till lungknutan. För det första kanske patienten behöver antibiotika eller svampdödande medel om knutan beror på en smittsam infektion.
När den bakomliggande orsaken är oklar kommer behandlingen att fokusera på patientens risk för cancer. Till exempel kan unga icke-rökare vars knuta inte tycks vara malign bara bli inkallade för regelbundna kontroller. Huvudsakligen för att kontrollera om knutan förändras eller växer.
På samma sätt är det, om det finns risk för cancer, viktigt att läkaren följer upp med en biopsi. Efteråt, ifall man fastställer att knutan är cancerframkallande, kan man schemalägga en operation för att ta bort den. När en operation inte är möjlig kan läkare föreslå kemoterapi eller strålbehandling.
Slutligen måste vi lyfta fram den negativa effekten av tobak för lungorna. Du bör vara medveten om risken med rökning och ofta gå på medicinska kontroller för att diagnostisera denna typ av patologi så snart som möjligt.
Samtliga citerade källor har granskats noggrant av vårt team för att säkerställa deras kvalitet, tillförlitlighet, aktualitet och giltighet. Bibliografin för denna artikel ansågs vara tillförlitlig och av akademisk eller vetenskaplig noggrannhet.
- Un nódulo pulmonar solitario | Medicina Integral. (n.d.). Retrieved December 24, 2019, from https://www.elsevier.es/es-revista-medicina-integral-63-articulo-un-nodulo-pulmonar-solitario-13046283
- Nódulos pulmonares: ¿Pueden ser cancerosos? Mayo Clinic. https://www.mayoclinic.org/es-es/diseases-conditions/lung-cancer/expert-answers/lung-nodules/faq-20058445#:~:text=Los%20n%C3%B3dulos%20pulmonares%20no%20cancerosos%20generalmente%20no%20requieren%20tratamiento.,o%20cambia%20con%20el%20tiempo.
- Prevención del cáncer de pulmón (PDQ®)–Versión para profesionales de salud. Instituto Nacional del Cáncer. https://www.cancer.gov/espanol/tipos/pulmon/pro/prevencion-pulmon-pdq
Denna text erbjuds endast i informativt syfte och ersätter inte konsultation med en professionell. Vid tveksamheter, rådfråga din specialist.







