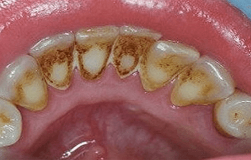
Tips för att eliminera plack och förbättra munhälsan

Att eliminera plack är viktigt eftersom detta tillstånd kan orsaka dålig andedräkt och även leda till andra liknande åkommor, som exempelvis tandsten. Den uppkommer då överblivna matrester förkalkas på tänderna och orsakar blödningar och halitos.
Även då det inte finns någon definitiv lösning för att eliminera plack på tänderna kan du använda en serie kurer för att minska ackumuleringen av matrester i munnen och undvika att sjukdomen fortskrider. Det bästa du kan göra är att ändra sättet du borstar tänderna. De flesta borstar tänderna horisontalt från vänster till höger sida, men många vet inte att vi kan öka tändernas känslighet på detta sätt.
Vi bör borsta tänderna vertikalt för att eliminera plack. Du börjar överst och går därefter nedåt i cirkulära rörelser och avslutar med att använda tandtråd och munvatten för att komma åt så många områden som möjligt.
Notera: Byt tandborste minst 4 gånger per år och använd en tandkräm med fluor.
Förändra din kost för att eliminera plack
Att ha en balanserad kost är det bästa sättet att förbättra din tandhälsa och eliminera plack. Försök att inte äta så mycket socker och kolhydrater. Undvik också läskedrycker och välj istället drycker som inte är skadliga för tänderna. Undvik livsmedel med mycket mjöl och kom ihåg att borsta tänderna varje dag för att undvika sjukdomar och bakterieinfektioner.
Hur kan jag komplettera min munhälsa?
Huskurer kan ofta vara väldigt effektiva för att motverka denna typ av munsjukdomar och då du vill eliminera plack, men det är mycket viktigt att du inte överdriver så att du inte skadar tänderna istället. Några av de huskurer som används för att eliminera plack och förbättra munhälsan hittar du nedan:
Tuggummi

För vissa kan detta verka lite motsägelsefullt, men en nyligen utgiven studie har visat att sockerfritt tuggummi hjälper till att eliminera plack från tänderna. Tugga tuggummi efter varje måltid för att lösa upp matresterna mellan tänderna. Detta gör att du sedan enklare kan ta bort det med tandborsten.
Bikarbonat

Då du ska borsta tänderna kan du lägga till lite bikarbonat på din tandkräm (väldigt lite). Bikarbonat löser upp matrester och bleker dessutom tänderna även åt dig. Du kan göra detta en gång per vecka innan du går och lägger dig, men kom ihåg att inte använda för mycket bikarbonat och inte heller använda det alltför ofta.
Eliminera plack med citron

Citronjuice är perfekt för att eliminera plack och tandsten. Citronjuicen har slipande egenskaper som hjälper till att ordentligt rengöra munnen. Den bleker även tänderna och tar bort jobbiga odörer. Gör detta en gång per vecka för att eliminera plack, men tänk på att inte överdriva så att du inte får motsatt effekt.
Kom ihåg!
Det finns inte jättemånga metoder och huskurer för att rengöra samt bleka tänderna och samtidigt motverka tandsjukdomar. Det bästa du kan göra är att besöka en tandläkare var sjätte månad: det finns inget bättre än en professionell rengöring för att motverka tandsjukdomar.
Samtliga citerade källor har granskats noggrant av vårt team för att säkerställa deras kvalitet, tillförlitlighet, aktualitet och giltighet. Bibliografin för denna artikel ansågs vara tillförlitlig och av akademisk eller vetenskaplig noggrannhet.
- Chetruş, V., & Ion, I. R. (2013). Dental plaque–classification, formation and identification. International Journal of Medical Dentistry, 3(2), 139-143. https://www.ijmd.ro/articole/306_306_6%20chetrus.pdf
- PPoyato Ferrera, M. M., Segura-Egea, J. J., Ríos-Santos, J. V., & Bullon, P. (2001). La placa bacteriana: Conceptos básicos para el higienista bucodental. Periodoncia, 11 (2), 149-164. https://idus.us.es/xmlui/handle/11441/39214
- Rosan, B., & Lamont, R. J. (2000). Dental plaque formation. Microbes and infection, 2(13), 1599-1607. https://www.sciencedirect.com/science/article/abs/pii/S1286457900013162
- Touger-Decker, R., & Van Loveren, C. (2003). Sugars and dental caries. The American journal of clinical nutrition, 78(4), 881S-892S. https://academic.oup.com/ajcn/article/78/4/881S/4690063
- Putt, M. S., Milleman, K. R., Ghassemi, A., Vorwerk, L. M., Hooper, W. J., Soparkar, P. M., … & Proskin, H. M. (2008). Enhancement of plaque removal efficacy by tooth brushing with baking soda dentifrices: results of five clinical studies. Journal of Clinical Dentistry, 19(4), 111. https://www.researchgate.net/profile/Mark_Putt/publication/24193167_Enhancement_of_plaque_removal_efficacy_by_tooth_brushing_with_baking_soda_dentifrices_Results_of_five_clinical_studies/links/555b610608ae6aea0816bf4d.pdf
Denna text erbjuds endast i informativt syfte och ersätter inte konsultation med en professionell. Vid tveksamheter, rådfråga din specialist.







