Medicinska framsteg i att kontrollera artros


Skriven och verifierad av läkare José Gerardo Rosciano Paganelli
Enligt en specialist vid Universidad Internacional Menéndez Pelayo i Madrid, Spanien, kommer vi inom 5-10 år att kunna sakta ner artros samt erbjuda bättre livskvalitet till patienter som drabbats. I dagsläget är det nästan omöjligt att utrota denna kroniska och även handikappande sjukdom. Vetenskapen fortsätter dock att göra små steg framåt som ger oss hopp om att en dag kontrollera artros.
Experter förklarar att det idag är vanligt att diagnostisera smärta när leden är 30% förstörd. Men om vi kan förutse sjukdomen kommer verkligheten att så väldigt annorlunda ut. Studier som man har gjort under de senaste åren har gett väldigt goda resultat. I den här artikeln vill vi därför förklara vad som kan komma att ske inom en relativt kort tidsperiod.
Att kontrollera artros kommer snart att bli verklighet
Artros drabbar 52% av alla kvinnor och 29% av alla män. Symptomen tenderar att dyka upp vid 54-60 års ålder och följer generellt följande mönster:
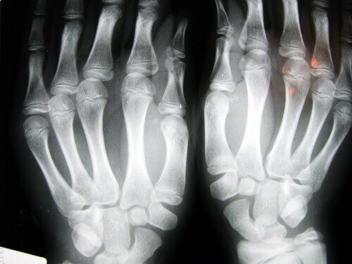
- Artros är vanligast i händerna (70%)
- Det rör sig därefter till fötterna (40%)
- Andra områden som också drabbas är knäna och höfterna (10% och 3% respektive)
Världshälsoorganisationen (WHO) säger att 28% av världens befolkning lider av artros. Man uppskattar att 80% av alla över 60 år har problem som man kan associera med denna sjukdom. Som du kan se är det mycket vanligt. Alla känner vi en drabbad familjemedlem eller vän. Än värre är det faktum att många av våra läsare är drabbade av sjukdomen och lider i tystnad.

Nyckeln är tidigare diagnoser
Enligt Biomedical Institute of Protein Study (INIBIC) i La Coruña, Spanien, kommer vi att kunna se artros i ett annat ljus om 5-10 år.
- Att sakta ner artros kommer att vara möjligt med tidigare diagnoser.
- I dagsläget utvecklar man ett diagnospaket för artros. Idén är att man med ett enkelt blodprov kan upptäcka tecken på sjukdomen.
- Som vi alla vet uppsöker vi generellt vår läkare när inte kan härda smärtan längre. Smärtan i händerna är fasansfull, de domnar på natten och små deformiteter uppstår.
- I detta skede är det omöjligt att sakta ner sjukdomen. Därför är nyckeln till att kontrollera artros att upptäcka tecknen så tidigt som möjligt.
Proteomik
Enligt reumatologen Francisco Blanco – forskningschef vid INIBIC – har vi gjort stora framsteg inom forskning av artros.
- Proteomik är en gren av biologi som undersöker proteom: kombinationer av proteiner som tas från ett genom.
- Proteomiska studier av drabbade vävnader har gjort att forskare kunnat identifiera biomarkörer.
- Dessa markörer möjliggör diagnos i ett tidigt skede av artros, med 96% framgång.
Med en tidig diagnos kan vi sakta ner sjukdomen. Forskare uppskattar att vi inom 5-10 år kommer att ha väldigt effektiva behandlingar för att kontrollera det.
Artros tenderar att följa samma attackmönster. Vissa substanser avges som förstör frisk vävnad lite i taget. Om vi kan inokulera mot dessa substanser kan vi sakta ner dess framfart.

Behovet av att kontrollera artros
Artros är den vanligaste typen av reumatisk sjukdom som finns. Man ska inte ta lätt på det eller se det som en sjukdom som bara drabbar äldre. Många associerar artros med hög ålder, men det är inte så verkligheten ser ut.
- Artros berövar folk på livskvalitet och rörlighet.
- Vi får heller inte glömma de hälsokostnader det kommer med: operationer, behandlingar, läkemedel, etc. Om vi hade investerat mer i forskning är det möjligt att vi hade kunnat kontrollera artros tidigare.
- Experter uppskattar att vi inom några år kommer bli bättre på att diagnostisera sjukdomen. Faktorer såsom fetma eller att delta i sporter (hur konstigt det än låter) höjer risken för artros.

Medicinska inrättningar är medvetna om problemet. Det är viktigt att vi håller artros under kontroll för vår livskvalitets skull. Att leva med kronisk smärta och lidande är inte att leva, även om många lyckas vänja sig.
Vi väntar ivrigt på mer information för att kunna dela det med dig.
Samtliga citerade källor har granskats noggrant av vårt team för att säkerställa deras kvalitet, tillförlitlighet, aktualitet och giltighet. Bibliografin för denna artikel ansågs vara tillförlitlig och av akademisk eller vetenskaplig noggrannhet.
- University of Nottingham. (2014, February 26). Progress in osteoarthritis pain relief signaled by new research. ScienceDaily. Retrieved February 22, 2019 from www.sciencedaily.com/releases/2014/02/140226074931.htm
- National Institute of Arthritis and Musculoskeletal and Skin Diseases. (2010). What Is Osteoarthritis? U.S. Department of Health and Human Services, (November), 1–4.
- Monfort, J., Garcia-Giralt, N., López-Armada, M. J., Monllau, J. C., Bonilla, A., Benito, P., & Blanco, F. J. (2006). Decreased metalloproteinase production as a response to mechanical pressure in human cartilage: A mechanism for homeostatic regulation. Arthritis Research and Therapy, 8(5). https://doi.org/10.1186/ar2042
Denna text erbjuds endast i informativt syfte och ersätter inte konsultation med en professionell. Vid tveksamheter, rådfråga din specialist.