Tandinfektioner: 7 symptom du bör känna till

Dina tänder har konstant kontakt med matrester, bakterier, saliv och andra ämnen. När som helst kan det påverka din hälsa eller orsaka tandinfektioner.
Dina hygienvanor hjälper dig att hålla munnen ren och frisk. Ibland förändras dock miljön i din mun, och det kan leda till infektioner som du måste vara försiktig med.
De kan vara lindriga eller allvarliga. I vissa fall kan de till och med påverka hela din kropp. Det mest oroväckande är att om du inte tar hand om tandinfektioner i tid kan de orsaka allvarlig smärta och total förlust av dina tänder.
Därför är det viktigt att känna till symptomen på infektioner. Du ska framförallt söka professionell hjälp när du har identifierat ett problem.
Idag vill vi lista några symptom som skvallrar om möjliga tandinfektioner.
Tecken på tandinfektioner
1. Dålig andedräkt

Halitos är ett av de mest uppenbara symptomen på tandinfektioner. Det orsakas av för mycket bakterier, framförallt i områden som tandborsten inte når och där matrester brukar samlas.
Du kan kontrollera det med produkter för oral hygien, men det kommer fortsätta dyka upp tills du tar tag i infektionen.
Dess närvaro kan indikera:
- Tandköttssjukdomen gingivit
- Hål i tänderna
- Tandbölder
- Karies
- Förändringar i din saliv
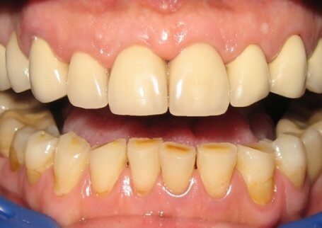
2. Slit på emaljen
När du lider av en tandinfektion kommer bakterierna i din mun producera syra. Denna syra sliter på emaljen som skyddar dina tänder.
- Dessa substanser ansamlas i plack med grov yta och ger upphov till gula fläckar på grund av vissa matrester.
- Att inte kontrollera infektionen kan leda till en allvarlig försvagning av tanden. Det kan få den att förlora sin densitet och gå sönder.
3. Käk- och tandsmärta

Smärta i käke och tänder, antingen konstant eller återkommande, kan också vara en signal på infektion. Det kan till exempel röra sig om periodontala sjukdomar eller tandinfektioner.
- Generellt har dessa att göra med ansamling av plack.
- Det kan även bero på rester som gör det lättare för bakterier att växa.
Smärtan bör undersökas av en tandläkare eftersom det kan bero på flera orala sjukdomar eller skador.
4. Blödande tandkött
Blödande tandkött dyker upp när en skada eller infektion drabbar tandköttet.
- Det är normalt att uppleva det då och då när du borstar tänderna eller använder tandtråd. Du kan till och med märka av det när du äter viss mat. Om det dock är något du drabbas av ofta bör du kolla upp det.
- Den huvudsakliga orsaken är gifter som orsakar plack på tänderna.
5. Inflammation och rodnad

Periodontala infektioner, vilket inkluderar hål i tänderna, orsakar inflammation och rodnad av tandköttet. Det kommer nästan alltid med smärta.
- Att ta hand om det snabbt är viktigt för att förebygga komplikationer eftersom svullnaden kan sprida sig till käkbenet.
6. Lösa tänder
Att känna av lösa tänder är en mer än tillräcklig anledning att träffa en tandläkare.
- Det indikerar att en tandinfektion är närvarande, samtidigt som det skvallrar om att benstrukturen som stödjer tänderna håller på att försämras.
- Det är normalt att det händer om du lidit av gingivit under en lång tid utan att ta hand om det. Det kan i sin tur leda till parodontit.
- Denna sjukdom kan få tänderna i det drabbade området att röra på sig. I allvarliga fall orsakar det benförsämring.
7. Var

Uppkomsten av var i tandköttet är en signal om att du kan lida av periodontala sjukdomar. Det är ett immunsvar på en attack från patogena bakterier som orsakar infektion.
- I början kan det orsaka små “blåsor“. Dessa kallas för tandbölder och innehåller blod såväl som var.
- Det är en komplex smittoprocess som ska behandlas av en expert eftersom för sen behandling kan resultera i oåterkallelig skada.
- Infektionen kan börja förstöra det alveolära benet. Det är det ben som stödjer tänderna.
Viktigt!
Alla misstänkta infektioner eller sjukdomar i tänder eller tandkött bör undersökas av en expert. Dessa problem kan eskalera väldigt snabbt! Infektionerna i munnen kan börja påverka andra viktiga organ via blodomloppet. Det är därför det är så viktigt att få rätt behandling.
För att minska risken för tandinfektioner är det viktigt att hålla god munhygien. Du bör även träffa en tandläkare regelbundet.
Dina tänder har konstant kontakt med matrester, bakterier, saliv och andra ämnen. När som helst kan det påverka din hälsa eller orsaka tandinfektioner.
Dina hygienvanor hjälper dig att hålla munnen ren och frisk. Ibland förändras dock miljön i din mun, och det kan leda till infektioner som du måste vara försiktig med.
De kan vara lindriga eller allvarliga. I vissa fall kan de till och med påverka hela din kropp. Det mest oroväckande är att om du inte tar hand om tandinfektioner i tid kan de orsaka allvarlig smärta och total förlust av dina tänder.
Därför är det viktigt att känna till symptomen på infektioner. Du ska framförallt söka professionell hjälp när du har identifierat ett problem.
Idag vill vi lista några symptom som skvallrar om möjliga tandinfektioner.
Tecken på tandinfektioner
1. Dålig andedräkt

Halitos är ett av de mest uppenbara symptomen på tandinfektioner. Det orsakas av för mycket bakterier, framförallt i områden som tandborsten inte når och där matrester brukar samlas.
Du kan kontrollera det med produkter för oral hygien, men det kommer fortsätta dyka upp tills du tar tag i infektionen.
Dess närvaro kan indikera:
- Tandköttssjukdomen gingivit
- Hål i tänderna
- Tandbölder
- Karies
- Förändringar i din saliv
2. Slit på emaljen
När du lider av en tandinfektion kommer bakterierna i din mun producera syra. Denna syra sliter på emaljen som skyddar dina tänder.
- Dessa substanser ansamlas i plack med grov yta och ger upphov till gula fläckar på grund av vissa matrester.
- Att inte kontrollera infektionen kan leda till en allvarlig försvagning av tanden. Det kan få den att förlora sin densitet och gå sönder.
3. Käk- och tandsmärta

Smärta i käke och tänder, antingen konstant eller återkommande, kan också vara en signal på infektion. Det kan till exempel röra sig om periodontala sjukdomar eller tandinfektioner.
- Generellt har dessa att göra med ansamling av plack.
- Det kan även bero på rester som gör det lättare för bakterier att växa.
Smärtan bör undersökas av en tandläkare eftersom det kan bero på flera orala sjukdomar eller skador.
4. Blödande tandkött
Blödande tandkött dyker upp när en skada eller infektion drabbar tandköttet.
- Det är normalt att uppleva det då och då när du borstar tänderna eller använder tandtråd. Du kan till och med märka av det när du äter viss mat. Om det dock är något du drabbas av ofta bör du kolla upp det.
- Den huvudsakliga orsaken är gifter som orsakar plack på tänderna.
5. Inflammation och rodnad

Periodontala infektioner, vilket inkluderar hål i tänderna, orsakar inflammation och rodnad av tandköttet. Det kommer nästan alltid med smärta.
- Att ta hand om det snabbt är viktigt för att förebygga komplikationer eftersom svullnaden kan sprida sig till käkbenet.
6. Lösa tänder
Att känna av lösa tänder är en mer än tillräcklig anledning att träffa en tandläkare.
- Det indikerar att en tandinfektion är närvarande, samtidigt som det skvallrar om att benstrukturen som stödjer tänderna håller på att försämras.
- Det är normalt att det händer om du lidit av gingivit under en lång tid utan att ta hand om det. Det kan i sin tur leda till parodontit.
- Denna sjukdom kan få tänderna i det drabbade området att röra på sig. I allvarliga fall orsakar det benförsämring.
7. Var

Uppkomsten av var i tandköttet är en signal om att du kan lida av periodontala sjukdomar. Det är ett immunsvar på en attack från patogena bakterier som orsakar infektion.
- I början kan det orsaka små “blåsor“. Dessa kallas för tandbölder och innehåller blod såväl som var.
- Det är en komplex smittoprocess som ska behandlas av en expert eftersom för sen behandling kan resultera i oåterkallelig skada.
- Infektionen kan börja förstöra det alveolära benet. Det är det ben som stödjer tänderna.
Viktigt!
Alla misstänkta infektioner eller sjukdomar i tänder eller tandkött bör undersökas av en expert. Dessa problem kan eskalera väldigt snabbt! Infektionerna i munnen kan börja påverka andra viktiga organ via blodomloppet. Det är därför det är så viktigt att få rätt behandling.
För att minska risken för tandinfektioner är det viktigt att hålla god munhygien. Du bör även träffa en tandläkare regelbundet.
Samtliga citerade källor har granskats noggrant av vårt team för att säkerställa deras kvalitet, tillförlitlighet, aktualitet och giltighet. Bibliografin för denna artikel ansågs vara tillförlitlig och av akademisk eller vetenskaplig noggrannhet.
- Manriv, N. (2010). La enfermedad periodontal, Enfermedad de las encías. National Institute of Dental and Craniofacial Research 14.
- Herrera González, D., Roldán Díaz, S., and Sanz Alonso, M. (2003). El absceso periodontal. Periodoncia 13, 7–20.
- Aylıkcı BU, Colak H. Halitosis: From diagnosis to management. J Nat Sci Biol Med. 2013;4(1):14–23. doi:10.4103/0976-9668.107255
- Erazo D, Whetstone DR. Dental Infections. [Updated 2019 Nov 11]. In: StatPearls [Internet]. Treasure Island (FL): StatPearls Publishing; 2019 Jan-. Available from: https://www.ncbi.nlm.nih.gov/books/NBK542165/
- Riverón, J., Rodríguez, A., Coutin, G., and Riveron, F. (2003). Factores de riesgo asociados con la enfermedad caries dental en niños.
- Alvares, O. F. (2018). Periodontal diseases. In Nutritional Aspects of Aging: Volume 2. https://doi.org/10.1201/9781351075145
-
InformedHealth.org [Internet]. Cologne, Germany: Institute for Quality and Efficiency in Health Care (IQWiG); 2006-. Gingivitis and periodontitis: Overview. 2011 Oct 5 [Updated 2014 Jun 18]. Available from: https://www.ncbi.nlm.nih.gov/books/NBK279593/
Denna text erbjuds endast i informativt syfte och ersätter inte konsultation med en professionell. Vid tveksamheter, rådfråga din specialist.







